症例集|国立緑歯科クリニック|国立の歯医者・歯科医院|日帰りセラミック治療にも対応
〒185-0034
東京都国分寺市光町1-49-7 アットイース1F
042-571-4618
MENU
ホーム
Home
医師紹介
Doctor
クリニック紹介
Clinic
クリニック紹介
国立緑歯科クリニックが選ばれる理由
アクセス
診療案内
Medical
むし歯治療
予防歯科
歯周病治療
小児歯科
セラミック治療(審美歯科)
セレック治療(即日で治療)
ホワイトニング
インプラント・入れ歯治療
かみ合わせ外来
スポーツマウスピース
よく診るお悩み
Worries
症状のお悩み
見た目のお悩み
初診の方へ
First
初診の方へ
料金表
医療費控除について
お知らせ
News
症例集
Case
ブログ
Blog
WEB予約
Facebook
Instagram
WEB予約
電話
WEB予約
アクセス
症例集
症例集|国立緑歯科クリニック|国立の歯医者・歯科医院|日帰りセラミック治療にも対応
ホーム
症例集
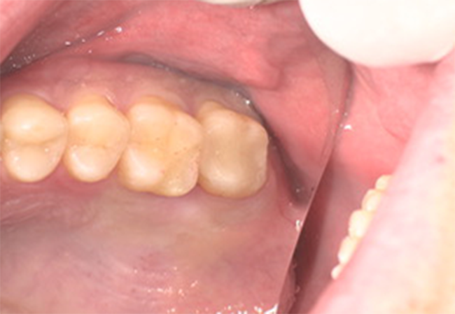
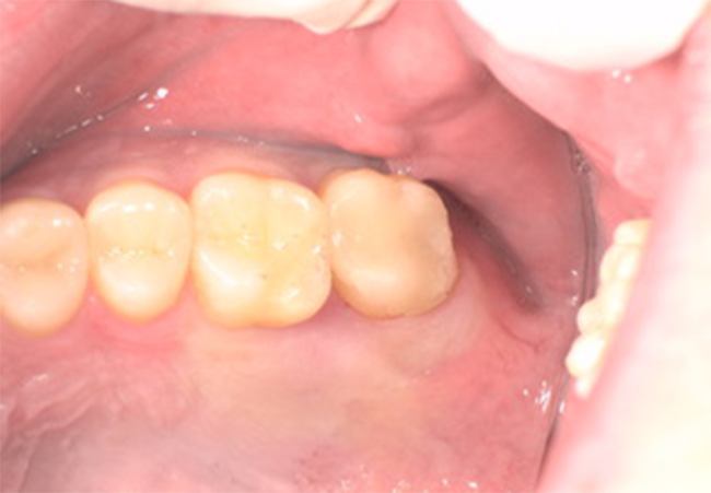
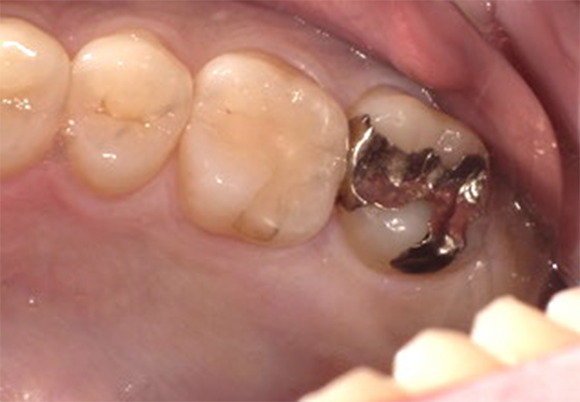
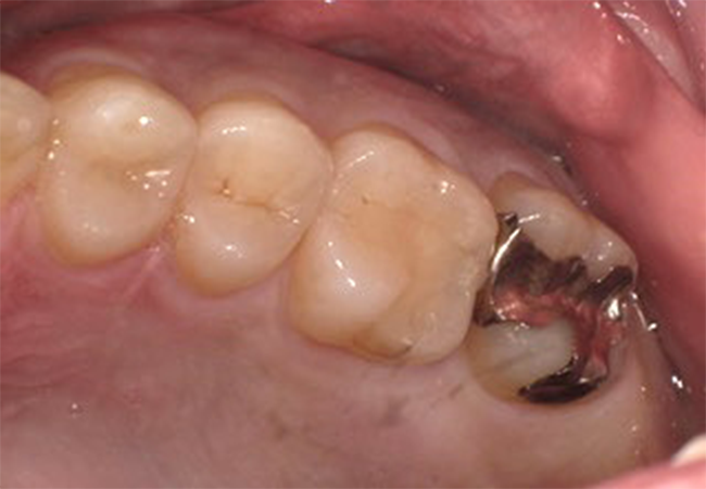
29歳男性・セラミック治療
Before①
Before②
After①
After②
年齢・性別
29歳男性
主訴
銀歯を換えたい
診査診断
審美障害
治療計画
セレックによるセラミック治療
治療期間・金額
1日2回 ¥33,000
リスク
知覚過敏、歯ぎしり等による破折
TOP